Le Hollywood Smile en Turquie est devenu une option populaire pour les personnes cherchant à améliorer leur sourire. Cette procédure de dentisterie esthétique consiste en l’utilisation de techniques de blanchiment des dents et de pose de facettes pour créer un sourire éclatant et uniforme.
Les dentistes turcs sont reconnus pour leur expertise en matière de soin dentaire, offrant des services de qualité supérieure à des prix abordables. Les cliniques dentaires en Turquie sont équipées de technologies de pointe pour fournir des résultats optimaux aux patients. Grâce au Hollywood Smile en Turquie, les patients peuvent retrouver leur confiance en eux et avoir un sourire éblouissant en peu de temps.
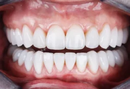
Qu’est-ce que le Hollywood Smile ?
Le sourire hollywoodien est également connu sous le nom de Hollywood Smile et il est devenu célèbre grâce aux célébrités qui ont adopté cette tendance de soin bucco-dentaire. Le sourire hollywoodien est caractérisé par des dents blanches et uniformes qui créent un sourire éclatant. Les techniques de dentisterie esthétique utilisées pour obtenir un Hollywood Smile incluent le blanchiment des dents, la pose de facettes en porcelaine et le repositionnement des dents. Pour créer un sourire hollywoodien parfait, les dentistes utilisent souvent des logiciels de simulation de sourire pour permettre aux patients de visualiser le résultat final avant même de commencer le traitement.
Le sourire hollywoodien est devenu une tendance de plus en plus populaire pour ceux qui cherchent à améliorer leur apparence et leur confiance en eux, et de nombreuses personnes se tournent vers les dentistes spécialisés pour obtenir leur propre Hollywood Smile. Le sourire hollywoodien est une technique de dentisterie esthétique qui vise à créer un sourire uniforme et éclatant à travers des techniques telles que le blanchiment des dents et la pose de facettes en porcelaine.

Pourquoi Hollywood Smile en Turquie ?
Le choix d’opter pour un Hollywood Smile en Turquie repose sur le fait que les dentistes turcs sont reconnus pour leur expertise en matière de dentisterie esthétique. Les patients peuvent bénéficier de services de haute qualité à des prix abordables, ce qui est une raison de plus pour choisir la Turquie comme destination pour leurs soins dentaires. Le choix d’opter pour un Hollywood Smile en Turquie est un choix judicieux pour ceux qui cherchent à obtenir des résultats optimaux en matière de soins dentaires esthétiques. Nos dentistes spécialisés depuis plus de 15 ans dans ce domaine vous offrent des prix avantageux.
Hollywood Smile Clinique à Istanbul
Le Hollywood Smile Clinique à Istanbul se spécialise dans la réalisation du célèbre Hollywood Smile en utilisant des techniques de pointe pour améliorer la couleur des dents de ses patients et créer des sourires éclatants. Les dentistes hautement qualifiés et expérimentés de cette clinique dentaire à Istanbul sont spécialisés dans la dentisterie esthétique en Turquie, offrant ainsi des résultats optimaux à leurs patients. Pour ceux qui cherchent à obtenir un Hollywood Smile éclatant en Turquie, le Hollywood Smile dans notre Clinique est un choix judicieux.










